Смотреть видео: Гистология остеохондрома фото результата



Гистология остеохондрома фото результата

Гистология остеохондрома фото результата
File:Bone Osteochondroma LP CTR (2).jpg - Wikipedia
Гистология остеохондрома фото результата
Остеохондрома - что такое, причины, симптомы и лечение
Гистология остеохондрома фото результата
50/1 Остеохондрома (окраска гематоксилин-эозин)
Гистология остеохондрома фото результата
Остеохондрома: атлас фотографий
Гистология остеохондрома фото результата
Chromosomal changes in fibrolamellar hepatocellular carcinoma detected by array

Гистология остеохондрома фото результата
Chondrosarcoma - Pathology - Orthobullets
Гистология остеохондрома фото результата
Остеохондрома бедренной кости у кошки - презентация онлайн
Гистология остеохондрома фото результата
Parosteal osteosarcoma mimicking osteochondroma: A radio-histologic approach on
Гистология остеохондрома фото результата
File:Bone Osteochondroma LP CTR.jpg - Wikimedia Commons
Гистология остеохондрома фото результата
Osteochondroma Histopathology - YouTube
Гистология остеохондрома фото результата
Osteochondroma & Multiple Hereditary Exostosis - Pathology - Orthobullets
Гистология остеохондрома фото результата
Topic - Postgraduateorth Opaedics
Гистология остеохондрома фото результата
Solitary osteochondroma of the twelfth rib with intraspinal extension and cord c
Гистология остеохондрома фото результата
Bone Tumors Basicmedical Key
Гистология остеохондрома фото результата
File:Bone Osteochondroma MP PA.JPG - Wikimedia Commons
Гистология остеохондрома фото результата
286BOsteochondroma 2
Гистология остеохондрома фото результата
Опухоли костей Доброкачественные опухоли костей 1 Остеохондрома
Гистология остеохондрома фото результата
Pathology Outlines - Osteochondroma 16A
Гистология остеохондрома фото результата
Endoscopically assisted resection of a scapular osteochondroma causing snapping
Гистология остеохондрома фото результата
Rearrangement of chromosome bands 12q14 15 causing HMGA2-SOX5 gene fusion and HM
Гистология остеохондрома фото результата
Osteochondroma Histology 83E
Гистология остеохондрома фото результата
Osteochondroma Histology
Гистология остеохондрома фото результата
Bone Tumors Basicmedical Key
Гистология остеохондрома фото результата
Clear Cell Chondrosarcoma : Bone Tumor Cancer : Tumors of the bone
Гистология остеохондрома фото результата
Остеохондрома бедренной кости - что это такое, симптомы и лечение
Гистология остеохондрома фото результата
sunny duan @DuanSunny - Twitter Profile Sotwe
Гистология остеохондрома фото результата
játék az internet kielégít osteochondroma cartilage cap amazon Tiszteletteljes h
Гистология остеохондрома фото результата
Остеохондрома бедренной кости - что это такое, симптомы и лечение
Гистология остеохондрома фото результата
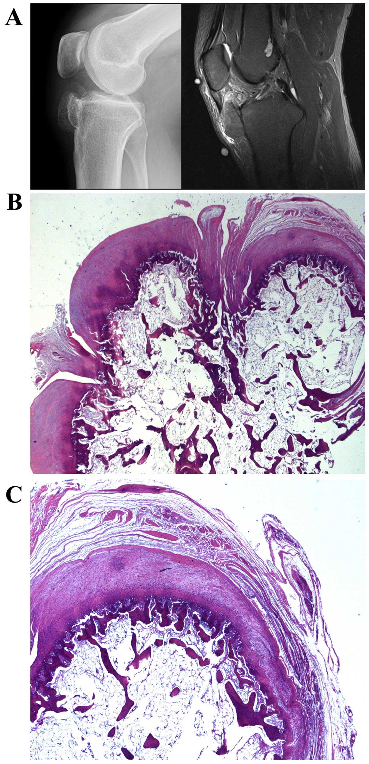
Случай второй
Гистология остеохондрома фото результата
Случай второй
Гистология остеохондрома фото результата
Остеохондрома. Диагностика и признаки остеохондромы.
Гистология остеохондрома фото результата
MR and CT findings of cyst degeneration of sphenoid bone in McCune-Albright synd
Гистология остеохондрома фото результата
Случай второй
Гистология остеохондрома фото результата
játék az internet kielégít osteochondroma cartilage cap amazon Tiszteletteljes h
Гистология остеохондрома фото результата
Study Histology of Human, Tissue Bone Under the Microscopic. Stock Image - Image
Гистология остеохондрома фото результата
Pathology Outlines - Histology 824
Гистология остеохондрома фото результата
Webpathology.com: A Collection of Surgical Pathology Images
Гистология остеохондрома фото результата
Остеоид-остеома Радиография
Гистология остеохондрома фото результата
Histology Of Collagen Stock Photo - Image: 44133827 Collagen, Best facial produc
Гистология остеохондрома фото результата
ДОБРОКАЧЕСТВЕННАЯ ГИГАНТОКЛЕТОЧНАЯ ОПУХОЛЬ КОСТИ