Смотреть видео: Et al примеры использования



Et al примеры использования

Et al примеры использования
Ma et al (90 фото)
Et al примеры использования
Taylor et al
Et al примеры использования
Смог ли бы двойник Земли нас увидеть? Ученые оценили "техносигнатуры" планеты /
Et al примеры использования
Taylor et al
Et al примеры использования
Han et al

Et al примеры использования
Et al s
Et al примеры использования
Физики изучили свойства флюида водорода при высоких давлениях при помощи машинно
Et al примеры использования
Park et al
Et al примеры использования
A Long-acting Interleukin-7, RhIL-7-hyFc, Enhances CAR T Cell Expansion, Persist
Et al примеры использования
Neural Factorization Machines for Sparse Predictive Analytics Proceedings of the
Et al примеры использования
Disruption of DISC1 via knockdown of NDEL1 stunts dendritic spine formation Aman
Et al примеры использования
PPT - Шаровые скопления PowerPoint Presentation, free download - ID:5924319
Et al примеры использования
File:Eukaryotic tree of life (Burki et al 2020).jpg - Wikipedia
Et al примеры использования
Structure of the ODD + D protocol of Muller et al. (2013) Download Scientific Di
Et al примеры использования
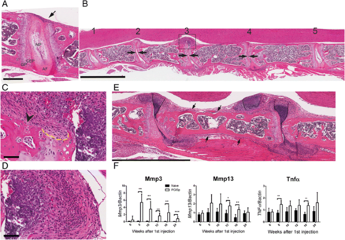
Inflammation-driven bone formation in a mouse model of ankylosing spondylitis: s
Et al примеры использования
Et al что значит
Et al примеры использования
Биологи: пумы используют хитрую стратегию удобрения растений, чтобы привлечь доб
Et al примеры использования
Изучение генетической структуры популяции. Внешние различия - презентация онлайн
Et al примеры использования
Action Design Research stages (based on Sein et al., 2011). Download Scientific
Et al примеры использования
What Does Et Al Mean Clearance www.uanatomy.com
Et al примеры использования
Frontiers Negative regulation of ATP-induced inflammasome activation and cytokin
Et al примеры использования
vectorforgedesign: Cool Arc Group Home Insulin Ideas
Et al примеры использования
Безопасность алгоритмов машинного обучения. Защита и тестирование моделей с испо
Et al примеры использования
Frontiers Relationship Between Sarcopenia and Cardiovascular Diseases in the Eld
Et al примеры использования
Trichoderma harzianum - Agronomie
Et al примеры использования
Психофизиология презентация, доклад
Et al примеры использования
Прозрачный солнечный элемент показал эффективность более 10 процентов
Et al примеры использования
Revised Classification of Eukaryotes Published - International Society of Protis
Et al примеры использования
Anti-Inflammatory Therapy with Canakinumab for Atherosclerotic Disease - ppt dow
Et al примеры использования
Frontiers Protein flexibility in the light of structural alphabets
Et al примеры использования
Anti-Inflammatory Therapy with Canakinumab for Atherosclerotic Disease - ppt dow
Et al примеры использования
Прозрачный солнечный элемент показал эффективность более 10 процентов
Et al примеры использования
Frontiers Protein flexibility in the light of structural alphabets
Et al примеры использования
Revisiting Simple Neural Probabilistic Language Models Papers With Code
Et al примеры использования
Физики уличили фотоны в подражании куперовским парам в сверхпроводниках
Et al примеры использования
What Is Batho Pele Principle
Et al примеры использования
JPM Free Full-Text Biomarkers for Homologous Recombination Deficiency in Cancer
Et al примеры использования
Structure of the ODD + D protocol of Muller et al. (2013) Download Scientific Di
Et al примеры использования
Post #361 - ChatGPT Нейро News (@chatgpt_neiro_news)
Et al примеры использования
A systematic review of the application of machine learning in the detection and